推荐度:
展位号: 20100104193745
点击量: 48665
网站首页 |
申请展台
| 在线反馈
       
  北京恒奥德仪器仪表有限公司  

北京恒奥德仪器仪表有限公司

网址: had200911.54pc.com 收藏
企业介绍 企业动态 产品展厅 资料中心 下载中心 询价订单 企业荣誉 招聘信息 联系我们 促销商品
当前位置: 展台首页 > 企业介绍
 产品目录
气相色谱仪
其它色谱仪
其它光谱仪
PH计
氧化还原电位(ORP)测定仪
电导率仪
电解仪
离子测定仪(离子计)
传感器
其它电化学仪
卡尔·费休水分测定仪
专用水分仪
其它水分测定仪
X射线应力分析仪
其它X射线(衍射)仪
其他大型仪器
气体分析仪
氧分析仪
其它元素分析仪
其它
生物显微镜
读数显微镜
光学检测仪
在线检测影像仪
其它光学检测仪器
激光测厚仪
光学影像投影仪
全自动光学测量仪
投影仪
折射仪
光度计
光学计
照度计
红外热成像仪
热扩散/导热分析仪
其它热分析仪器
粒度分析仪
激光粒度仪
其它粒度分析仪
旋转流变仪
旋转式粘度计
粘度计
试验机
其它试验机
恒温恒湿箱
维氏硬度计
布氏硬度计
其它硬度计
比表面积及孔结构分析仪
孔径/隙度分析仪
其它表面物性测试仪
密度计
色度计
浊度仪
白度仪/白度计
其它物理光学设备
测厚仪
测振仪
其它无损检测/无损探伤设备
锥形量热仪
温湿度计
液体比重计
黑度计
比重仪
固体成分含量仪
其它
农药残留速测仪
土壤检测仪
饮用酒检测仪
乳品专用分析仪
食品安全速测仪
食品甲醛检测仪
食品品质速测仪
其它农业和食品专用仪器
闪点/燃点仪
蒸馏/蒸发仪
运动粘度测定仪
石油破/抗乳化测定仪
沥青产品专用测试仪
燃油专用测试仪
石油产品馏程测定仪
地化录井仪
其它石油产品专用分析仪器
溶出度仪
脆碎度仪
其它药物检测专用仪器
其它煤炭行业专用仪器
纤维类测试仪器
织物类测试仪
纱线类测试仪
色牢度仪
其它纺织行业专用仪器
其它橡胶塑料行业专用仪器
通讯及电子测量仪器
教学仪器
兵器、船舶及航空航天系统
轻工系统
行业专用分析仪器
烟气监测/分析仪
甲醛分析仪
红外气体分析仪
TVOC
粉尘测定仪
臭氧分析仪烟度计
湿度计
采样器
气体分析
一氧化碳测试仪
二氧化碳测试仪
有毒气体检测仪
可燃气体检测仪
建筑材料检测仪
氧气测试仪
室内空气品质测试仪
其它
多参数水质分析仪
离子检测仪
COD测定仪
BOD测定仪
红外测油仪
溶解氧测定仪
氨氮测定仪
大肠杆菌测定仪
氰化物测定仪
余氯/总氯测定仪
水和废水监测仪
浊度仪
总磷测定仪
水质采样器
其它
风速计
音量计
声级校准器
辐射仪
负离子检测仪
其它
电子天平
平台秤
其它天平
电阻炉
加热板
马弗炉
鼓风干燥箱
干燥箱
其它
恒温器
恒温水浴锅
恒温水箱
水浴恒温振荡器
恒温柱箱
恒温培养箱
恒温油浴
恒温水浴
恒温槽
其它
离心机
其它
超声波清洗器
高压灭菌器
其它
氮吹仪
蒸馏水器
其它
石墨消解仪
恒温消解仪
玻璃层析柱
其它
制冰机
冷冻机
搅拌机
混合机(乳化机)
匀浆机
其它
粉碎机
研磨机
其它
真空泵
其它
实验室台
通风柜
其它
振荡培养箱
溶出设备
其它
细胞分析仪
生化培养箱
收集器
其它
动物实验仪器
其它
其它
在线PH计
在线电导仪
在线COD
在线ORP
其它
在线反应分析
在线压力计
其它
红外测温仪
温度计
温度变送器
温度传感器
温度记录仪
其它
测距仪
水位计
辐射计量仪器
声学计量仪器
电磁学计量仪器
其它
传感器
万用表
示波器
电流表
电压表
欧姆表
工业自动化仪表
其它相关仪表
气体净化器
采样器配件
其它
样品前处理配件与耗材
试验机/硬度计配件与耗材
电化学仪器配件与耗材
生化仪器专用配件与耗材
 联系我们
地 址:北京市门头沟区双峪环岛东南角熙旺中心(东方巴黎时代广场)B座2222
邮 编:100142
联系人:李海萍
电 话:010-51658042/ 51655247 /51665884、13311510561/18911282105
传 真:010-57553316
邮 箱:hadgs6688@163.com
 友情链接
· 中国分析仪器网
· 北京恒奥德仪器仪表有限公司
· 北京恒奥德仪器仪表大全
· 北京恒奥德仪器仪表试剂网
· 北京恒奥德研发中心
· 北京恒奥德公司
· 北京恒奥德科技有限公司
· 北京恒奥德仪器仪表有限公司厂家
· 北京亚欧德鹏科技有限公司
· 北京恒奥德仪器
· 北京恒奥德仪器仪表大全
下载中心 返回列表
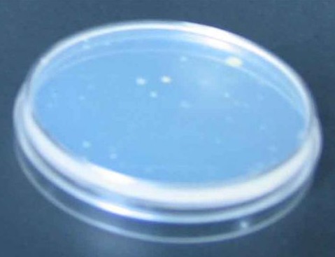
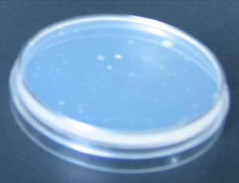
接触性平皿/表面接触碟
提 供 商: 北京恒奥德仪器仪表有限公司
资料大小: 132K
发布时间: 2014-04-26
浏览次数: 310
下载次数: 310
资料介绍

接触性平皿/表面接触碟        型号;H23476 

内径56.6mm接触性平皿(接触碟):用于设备、车间、人员、包装材料等表面微生物的测定。取代棉签擦拭法,减少取样步骤,确保取样的准确性和安全性。培养基有效表面积为25cm2,符合新版GMP标准所规定的取样要求。

  特点:1.湿热灭菌,可以重复使用。
  2.透光率好,摔不烂。(材质:俗称金属玻璃)
  3.密闭性好,培养5-7天,培养基不会干裂。
  4.内径56.6mm,培养基有效表面积为25cm2 ,符合新版GMP表面微生物取样的要求。
  并提供一次性使用接触碟  满足各种表面微生物取样的要求及各种用户的需求。

  说明:只提供空接触碟,加上培养基是让看清楚接触碟是什么样的。

 


首页 | 仪器商场 | 展商在线 | 展会信息 | 供求信息 | 仪器英才 | 应用资讯 | 图书期刊 | 管理入口
中国分析仪器网 设计制作,未经允许翻录必究.以上信息由企业自行提供,信息内容的真实性
准确性和合法性由相关企业负责,中国分析仪器网对此不承担任何保证责任
浙ICP证020120号 经营许可证编号:浙B2-20060229